
Etiology and Epidemiology
Clinical Features
Physical Examination Findings
Diagnosis
Diagnostic Imaging
Treatment and Prognosis
Immunity and Vaccination
Prevention
Public Health Aspects
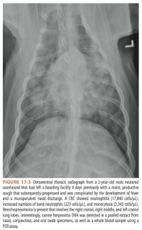
Case Example
Suggested Readings
References
Canine adenovirus
Canine influenza virus
Canine parainfluenza viruses
Canine respiratory coronavirus
Canine herpesvirus
Canine reoviruses
Canine pneumovirus