Register
or
Login
*
Email
*
Password
Keep me logged in
Login
Forgot Password?
Signup With
New to VetVine?
Register Now
About
About Us
Consulting
Partners
Privacy Policy
Terms of Service
Continuing
Education
Upcoming Webinars
CE/Videos On Demand
Publications
FAQs
Pet Loss Support
Virtual Pet Loss Support Services
Schedule & Registration
Group & Session Facilitators
Additional Resources
Wellness for
Professionals
Coaching for Professionals
Wellness Wisdom
Pet Health Library
Search Topics
Pet Owner
Resources
Find a Vet
Webinars
Upcoming Webinars
On Demand Webinars
Pet Health Information
Specialty Consultations
Contact
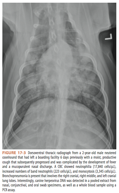
Canine Viral Respiratory Infections
» Photos
Picture 1 of 1
Tagged:
Added
April 12, 2016
-
Download
0 comments