Forums » Oncology

What's your diagnosis?

    • 26 posts
    December 7, 2012 5:48 PM EST

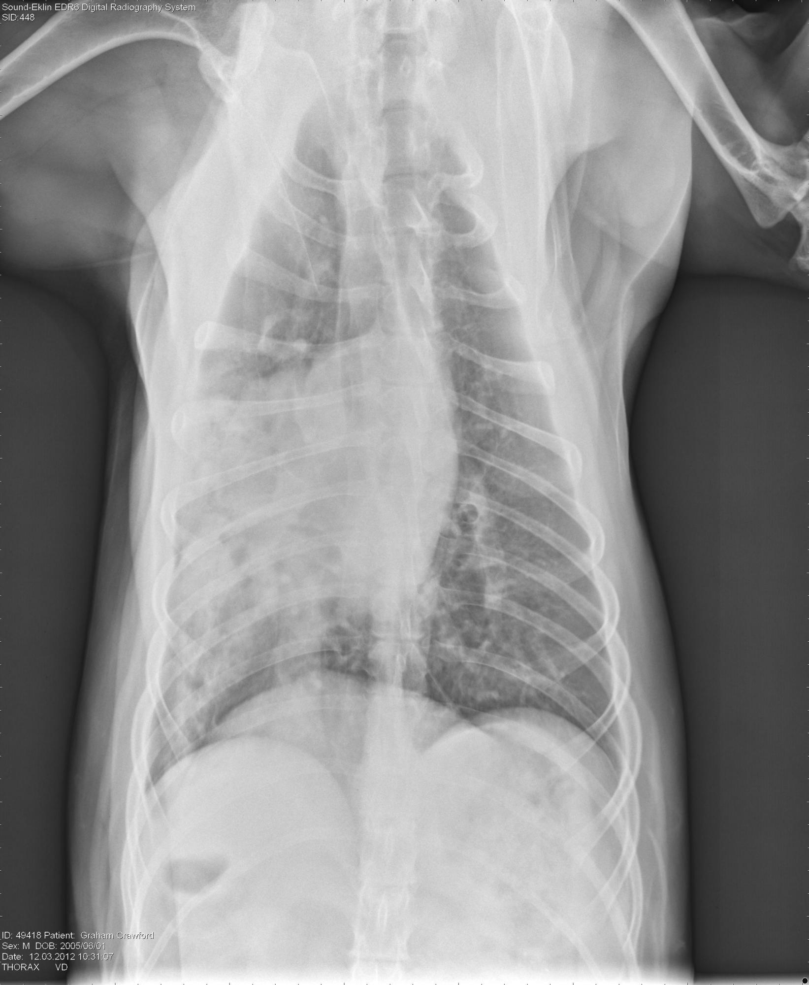
    The following radiographs are from a 9 year old Golden Retriever with history of heart base tumor treated with pericardectomy 6 months ago. There is a current history of acute onset of an episode of vomiting yesterday with acute onset of dyspnea today.
    What is your diagnosis?

    • 26 posts
    February 18, 2013 10:41 AM EST

    The diagnosis is pneumonia ;) It is not always cancer :)