Dogs love to play fetch and tennis balls are commonly thrown by their owners. The problem?
The fuzz on the ball (and the way that dogs chew on the ball) acts like a bench grinder.
This can cause teeth to wear down rapidly.

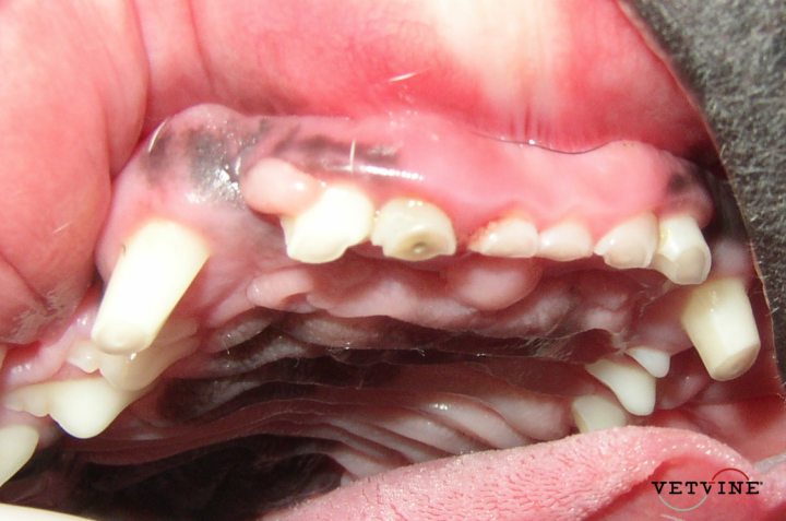
The anterior teeth of this dog demonstrate "abrasion" - significant mechanical wear due to chewing
on a tennis ball. With the pet under anesthesia a dental explorer should be used to probe the
hole evident in the incisor of this dog - to assess for fracture and endodontic disease.
Login via Facebook?
| or Cancel | |

